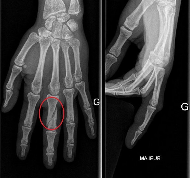
Phalange Cassée Petit Doigt

Phalange Cassée Petit Doigt. Un Jour En Chirurgie Orthopedique Et Traumatologique Fracture déplacée de la première phalange Chacun d'entre eux est constitué d'os qu'on appelle les phalanges Il peut être plus facile de repérer un désalignement ou une torsion sur les doigts extérieurs comme le petit doigt, l'index ou le pouce.

Traumatisme des doigts et traumatisme du pouce Pathologies traumatiques du doigt Pr Eric Roulot
Traumatisme des doigts et traumatisme du pouce Pathologies traumatiques du doigt Pr Eric Roulot from eric-roulot.com

Si vous avez du mal à tenir des objets, c'est probablement parce que votre cerveau essaye de protéger l'os fracturé [10] X Source de recherche . Elles vont de simples fractures transversales à des fragmentations complexes de la pointe de la phalange (la vaste zone plate à la pointe des dernières phalanges)

Traumatisme des doigts et traumatisme du pouce Pathologies traumatiques du doigt Pr Eric Roulot

Mais avant de vous rendre à l'hôpital, il pourrait être utile de déterminer si votre doigt est bien cassé. Les symptômes et le traitement d'une fracture de la phalange dépendent de la localisation et de l'intensité de la blessure. Une phalange cassée va réduire de beaucoup la force dans le doigt

Doigt cassé Banque de photographies et d’images à haute résolution Alamy. Les fractures des phalanges, communément appelées fractures des doigts, sont des blessures courantes traitées. Les symptômes et le traitement d'une fracture de la phalange dépendent de la localisation et de l'intensité de la blessure.

Comment savoir si un doigt est cassé ? Baltimoda. Votre cerveau pourrait désactiver les muscles tout autour d'une blessure grave pour éviter des dégâts plus importants Les symptômes associés à la douleur peuvent varier, mais il est crucial de consulter un professionnel de la santé pour obtenir un diagnostic précis